
Your smile is one of the first things people notice, and it’s never too early or too late to make it shine. Whether you’re a teenager worried about a chipped tooth, a young adult wanting to whiten your smile, or a senior eager to restore the natural function of your teeth, smile makeovers are tailored to get you started. With the right care and customized treatment plans, every generation can enjoy a smile that feels natural, healthy, and uniquely their own.
Want to know more about this smile makeover process? Continue reading the blog.
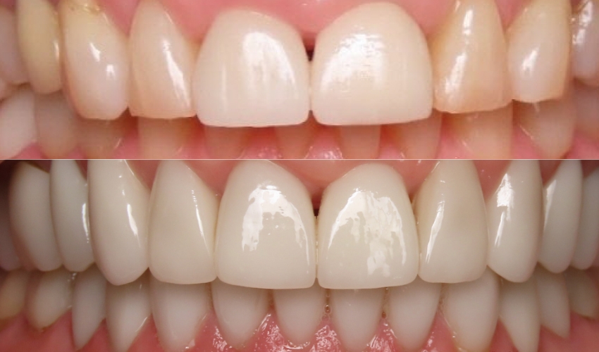
Smile Makeovers for All Ages
Teen Smile Makeovers: Building Confidence Early
Teenagers usually have cosmetic concerns that undermine their confidence. Smile makeovers during this age focus on minimal, non-invasive procedures that enhance small flaws and encourage long-term oral health. The treatments covered here are:
- Bonding: Ideal for fixing chipped or misshapen teeth without discomfort or delay.
- Whitening: Cosmetic whitening treatments remove surface stains due to diet or braces without damaging them.
- Composite Fillings: A more attractive alternative to metal fillings for the treatment of incipient cavities, which are completely merged with natural teeth.
Young Adults (20s–30s): Emphasizing Natural Beauty
At this age, the majority of people seek subtle yet powerful modifications that enhance busy lives and go along with their work calendars. What can you get at this age?
- Whitening: A quick, noticeable boost for yellow or dingy enamel.
- Veneers: Thin porcelain shells that refine the shape, size, and color of teeth—ideal for correcting smiles without braces.
- Composite Fillings: For new fillings or repairing small portions of tooth decay with an all-natural look.
- Bonding: The budget-friendly alternative to filling gaps, minor chips, or differences in tooth lengths.
Middle Age (40s–50s): Refinement and Restoration
By middle age, wear and tear tend to be more obvious. Smile makeovers in Wichita KS tend to gravitate towards a blend of restoration and cosmetic refinement:
- Full-Coverage Crowns: Rebuild strength and appearance on heavily worn-out or damaged teeth.
- Veneers: A personal favorite for the refinement of aesthetic appeal, especially for teeth that have dulled or shifted somewhat over the course of time.
- Composite Fillings: Maintain restorative integrity while keeping intact the smile’s natural beauty.
- Bridges: A restorative option for tooth replacement, propped up on adjacent natural teeth or crowns.
Seniors (60+): Rebuilding Comfort and Function
Later in life, the smile makeover focuses on rebuilding function, enhancing chewing ability, and achieving maximum comfort. Most sought-after smile makeover treatments for this age bracket:
- Dentures: Contemporary, comfortable options when you have several missing teeth.
- Implants: A firm, natural-feeling replacement for your single or several missing teeth.
- Bridges: Functional even when implants are not, providing stability and beauty enhancement.
- Full-Coverage Crowns: Restore your weakened teeth and stop further decay.
A beautiful smile need not be reserved for one particular age, it’s for all. Whether you’re 16 or 76, smile makeover procedures are tailored to meet your dental needs, with customized treatments that suit your lifestyle and aspirations. Discuss with our dentist how bonding, whitening, veneers, or implants can change your smile at any point in your life. Make an appointment with us and discover how a smile makeover can revolutionize your life. Not sure where to start? Explore what issues you can fix with a smile makeover and see how we can help.