As someone who has had a lot of dentists and a fair share of challenging experiences, I can say with confidence that Dr. Bo and her team stand head and shoulders above the rest. Two particular dimensions stand out. The first is the very consistent patience, caring, and compassion for my sensitivities and difficulties. The second is a very clear vision and commitment to longer-term implications and outcomes of my oral health.
Every visit is an absolute delight! Dealing with severe anxiety when it comes to dental appointments, I can't express enough how this Dental Studio consistently puts me at ease. I'm absolutely thrilled I chose this practice. If you're looking for a place where you're not just a patient but treated like family, and where you consistently receive remarkable results, then this is unequivocally the perfect choice for you!
Dr. Bo and her team are just amazing!! I came to them as a new patient with high anxiety of dentists. They have went above and beyond in their services to make me feel comfortable. I can now walk into the dentist excited to see everyone and have them take care me with great service. They make me feel like I am important to them. I don't feel like I am just someone they've provide a service to. They definitely go above and beyond for their patients. Thank you all so so much.
I have had nothing but positive experiences at the Newton Dental Studio. They listen, respect your needs, and even make you feel valued. There is no judgement of any kind. The recent dental hygienist I had was extremely knowledgeable and taught me many new things. I appreciate their hard work and compassion. Dr. Bo is very gentle and extremely great at what she does!
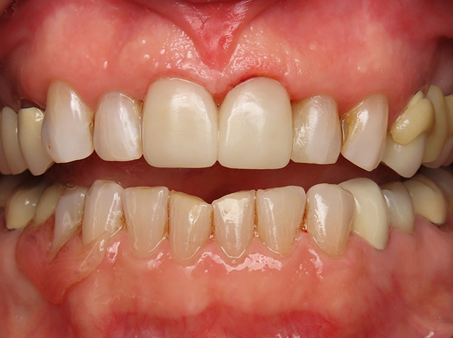
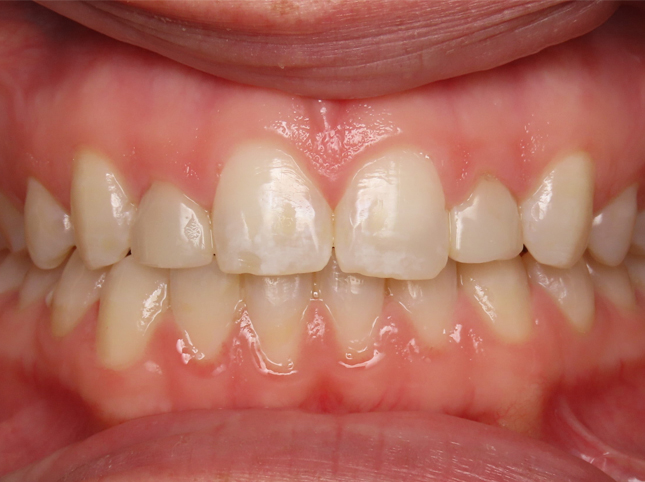
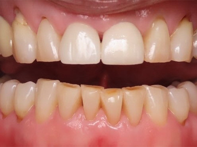
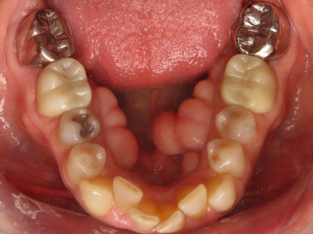
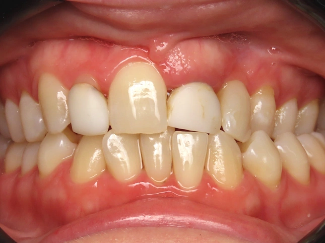
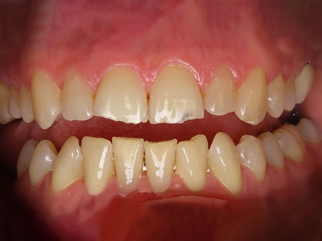
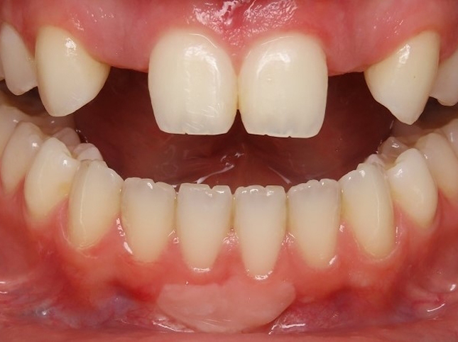
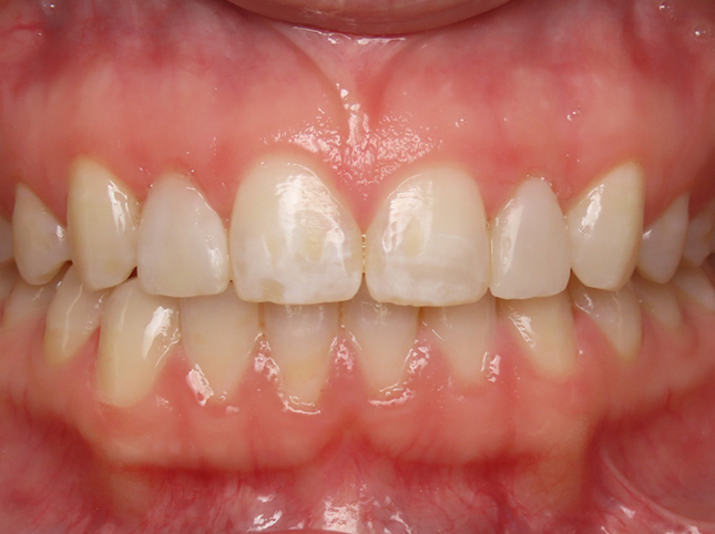
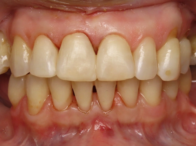
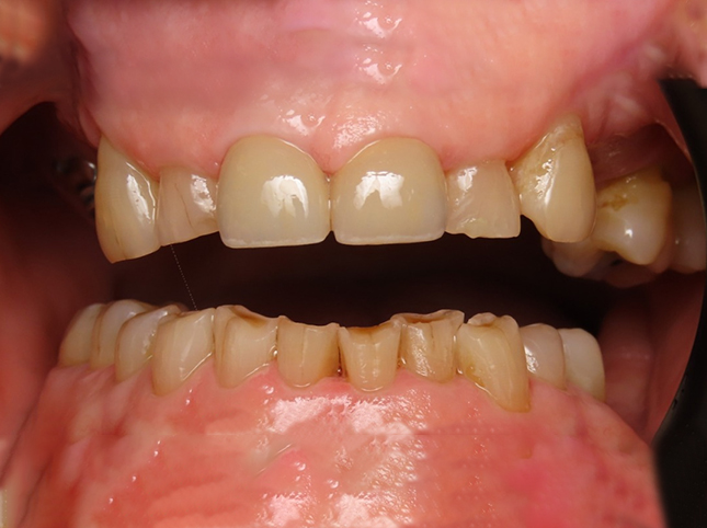
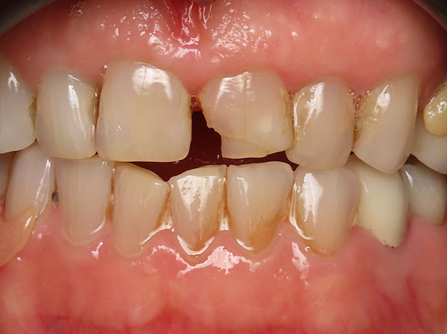
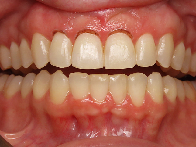
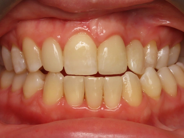
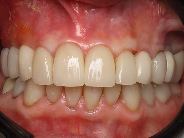
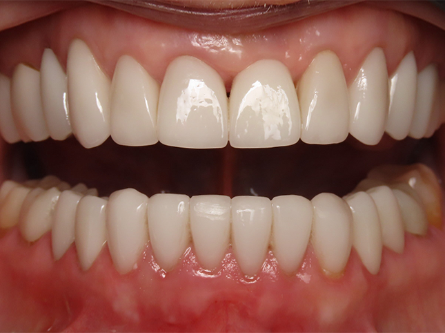
Outstanding experience as a new patient. I've never experienced x rays of every tooth. The teeth cleaning process was very thorough. Kathy was an exceptional hygienist. Dr. Bo is very up front about what she can offer for my situation complete with pictures taken with a mouth camera. Prices are not outrageous unlike some practices in Wichita.