

When it comes to cosmetic dentistry, porcelain veneers are often regarded as the gold standard. But what makes them so special?
If you’ve ever dreamed of a perfect smile, veneers could be the solution. Whether you’re dealing with discolored, chipped, or slightly misaligned teeth, porcelain veneers offer a way to completely transform your smile with minimal hassle. With their natural look and long-lasting results, veneers have earned a reputation as one of the most sought-after treatments in dentistry.
But porcelain veneers aren’t just about aesthetics. They’re also about boosting your confidence and making you feel great every time you smile.
In this blog, we’ll explore why porcelain veneers are considered the gold standard in cosmetic dentistry. From their durability to the aesthetic excellence they provide, we’ll dive into the reasons why so many people choose veneers to enhance their smile.
So, if you’re curious about whether porcelain veneers might be the right choice for you, keep reading to learn how they can make your smile shine brighter than ever before!
What Are Porcelain Veneers and How Do They Work?
Porcelain veneers are thin, custom-made shells that cover the front surface of your teeth. These shells are designed to improve the appearance of your teeth by correcting imperfections like discoloration, chips, or slight misalignment. The procedure for getting porcelain veneers is straightforward and involves several key steps.
- Consultation: The process begins with a consultation, where your dentist evaluates your oral health and discusses your goals.
- Preparation: A small amount of enamel is removed from the tooth surface to make room for the veneers.
- Customization: Veneers are custom-designed to match your natural teeth in color, size, and shape.
- Placement: Once the veneers are ready, they are bonded to the teeth using a strong adhesive.
Many patients choose porcelain veneers in Wichita KS, as a solution to transform their smiles with precision and care, making the process both effective and personalized.
Why Porcelain Veneers Stand Out: Durability and Longevity
One of the biggest reasons porcelain veneers are considered the gold standard in cosmetic dentistry is their durability. These veneers offer long-lasting results that are resistant to staining, chipping, and general wear.
- Long-Lasting Results: Porcelain is known for its strength and ability to resist damage. Veneers can last 10-15 years or even longer with proper care.
- Stain Resistance: Unlike other materials like resin, porcelain is highly resistant to staining, maintaining its bright, clean appearance over time.
- Comparison to Other Options: Veneers last longer than cosmetic bonding, which often needs to be redone after a few years. They also outperform crowns, which can wear down more quickly in some cases.
- Real-Life Examples: Many people with porcelain veneers report having them for over a decade without issues, enjoying the same aesthetic benefits from the first day they were placed.
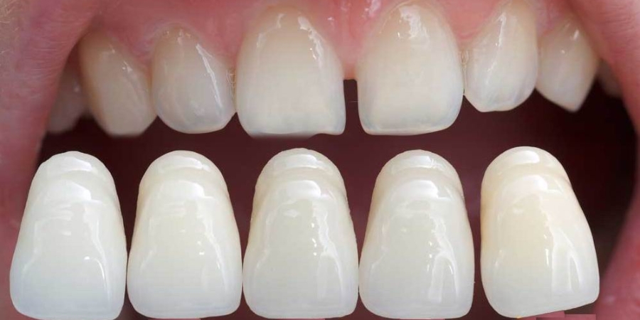
Aesthetic Excellence: The Natural Look of Porcelain Veneers
Porcelain veneers stand out not just for their strength but for their natural-looking appearance. Their ability to replicate the look of natural teeth is one of the main reasons patients choose them for cosmetic enhancement.
- Visual Appeal: Porcelain mimics the translucency of tooth enamel, giving it a shiny, realistic appearance that other materials can’t replicate.
- Translucency and Color Matching: The light-reflecting properties of porcelain make it almost indistinguishable from real enamel, providing a smooth and polished look.
- Personalization: The shape, size, and color of porcelain veneers can be fully customized to meet the patient’s preferences. This ensures the result is harmonious with the rest of their facial features.
- Perfect Fit: Veneers fit perfectly over the teeth, correcting imperfections while still looking natural and polished.
The Minimal Tooth Preparation Process: A Less Invasive Option
One of the key advantages of porcelain veneers is that they require minimal preparation compared to other cosmetic treatments, like crowns. This makes them a less invasive option for people who want to improve their smile with minimal disruption to their natural teeth.
- Conservative Approach: Only a thin layer of enamel is removed to fit the veneer, preserving most of the natural tooth structure.
- Comfortable Experience: Many patients experience little to no discomfort during the procedure, and anesthesia may not even be necessary for some cases.
- Why Less Invasive Is Better: By preserving more of your natural tooth structure, porcelain veneers help maintain the long-term health of your teeth. This also reduces the risk of complications that may arise with more invasive procedures like crowns.
The Confidence Boost: Psychological and Emotional Benefits of Porcelain Veneers
In addition to the physical transformation porcelain veneers bring, they also have a profound impact on a person’s emotional and psychological well-being. When you feel great about your smile, it shows in all aspects of your life.
- Enhanced Self-Esteem: Having a smile that you feel confident about can significantly boost your self-image. It helps you feel more comfortable in social and professional situations.
- A Healthier Smile: Porcelain veneers not only improve aesthetics. They also enhance the overall functionality of your teeth, especially when they correct misalignment or other issues.
- Life Changes: Many patients report feeling more confident, leading to better relationships, increased opportunities at work, and improved social interactions. The change is often not just physical, but emotional as well.
Porcelain veneers are more than just a cosmetic upgrade—they offer lasting beauty, natural aesthetics, and a confidence boost. Whether addressing imperfections or seeking a smile transformation, veneers provide a minimally invasive, durable, and personalized solution. With their long-lasting results, customizable appearance, and significant emotional impact, porcelain veneers truly are the gold standard in cosmetic dentistry. If you’re ready to enhance your smile and boost your self-esteem, porcelain veneers may be the perfect option for you.